Cosmetic Dentistry

Cosmetic Dentistry in Eugene, OR
At PNW Dental, we believe everyone deserves a smile they're proud to share. Our cosmetic dentistry services combine artistry with advanced dental techniques to enhance your smile's appearance while preserving its health and strength.
Our Cosmetic Dental Services
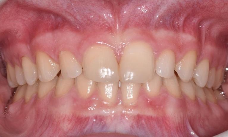
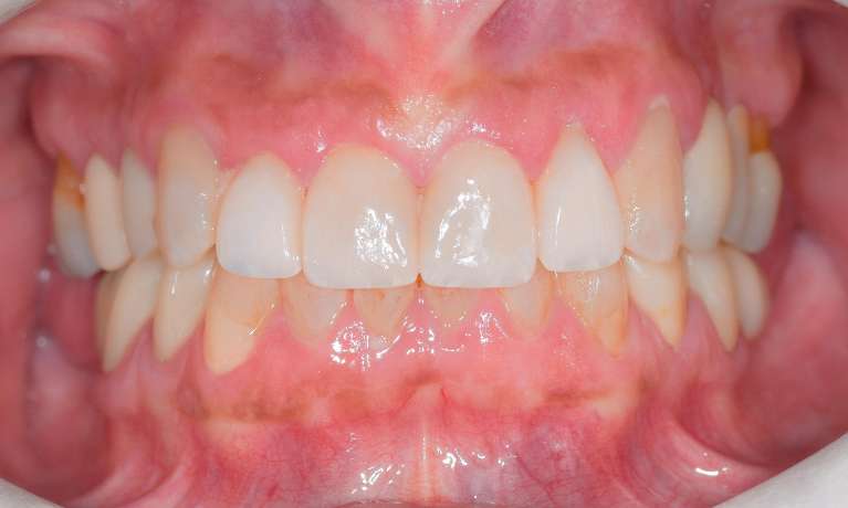
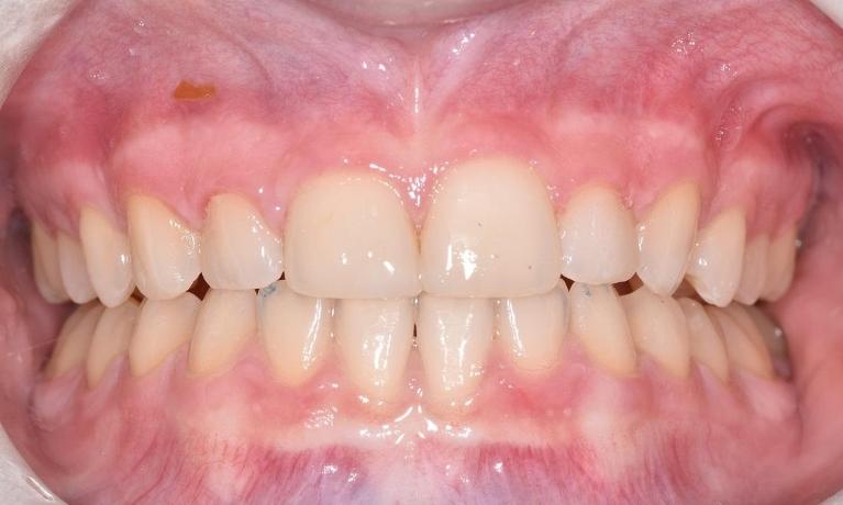
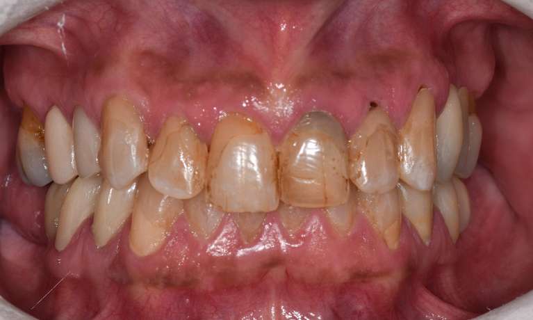
Porcelain Veneers
Custom-crafted thin shells of porcelain bonded to the front of your teeth to correct chips, cracks, staining, gaps, and uneven sizing. Veneers deliver dramatic, long-lasting results that look completely natural.
Teeth Whitening
We offer both professional in-office whitening and take-home whitening kits customized to your teeth. Professional whitening delivers results significantly stronger than over-the-counter products, often lightening teeth by several shades in a single visit.
Dental Bonding
Composite resin is applied and sculpted directly on your tooth to repair chips, close small gaps, or reshape uneven teeth. Bonding is a quick, affordable option with beautiful, natural-looking results.
Tooth-Colored Fillings
Our composite fillings blend seamlessly with your natural tooth color — no more metal showing when you laugh or smile.
Smile Makeovers
For patients wanting comprehensive aesthetic changes, we design a personalized smile makeover combining multiple cosmetic procedures for total smile transformation.
Ready for Your New Smile?
Patients throughout Eugene, Springfield, and Lane County trust PNW Dental for cosmetic dental care. Schedule your cosmetic consultation today — call (541) 342-3398 or book online.