Skip to main content Accessible Version
Crowns & Bridges
Solutions for Broken and Missing Teeth

Dental crowns and bridges in Eugene, OR restore function and blend naturally into your smile.

Crowns & Bridges | Dentist
Is a Dental Crown or Bridge Right for You?
Call to Learn More

Crowns & Bridges

Thanks to advances in science and medicine, people today are living longer than ever before. Of course, this means we’re also demanding more of our teeth, and our Eugene patients need solutions like crowns and bridges to restore function to damaged teeth and replace missing teeth.

The goal of dentistry is to keep your teeth healthy and functional for as long as possible. With dental crowns, we can extend the lifespan of a damaged tooth by placing a “cap” over it to preserve its structure and protect it. Tooth loss is unfortunate, but if and when it occurs, a dental bridge can restore the appearance and function of your smile.

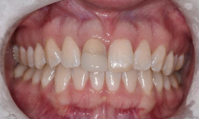
What Does a Dental Crown Do?

A dental crown is designed to cover an entire tooth and encase it in a material like ceramic. This provides a strong new chewing surface so you can use the tooth again, and it also absorbs the pressure for the damaged teeth beneath it.

Dr. Susie Watkins and Dr. Tyler Peterschmidt recommend crowns to:

  • A cavity is too large to repair with a filling alone
  • A tooth is broken, cracked, or damaged and requires support
  • Root canal treatment requires us to place a crown to protect the tooth
  • As part of a dental bridge when replacing missing teeth

Steps for Getting a Dental Crown

Dental crowns are often referred to as caps because they fit over a tooth like a little helmet. When designing crowns, we consider all of the materials available, including ceramic, zirconia, E-Max, gold, porcelain-fused-to-metal (PFM), and porcelain-fused-to-zirconia. 

Our dentists will choose the right material based on considerations like the tooth's location, your cosmetic preference, and whether or not you have a tooth grinding habit. 

The first step is to alter the tooth's shape slightly to accommodate the material of the crown. This ensures a flush fit against your gum line and a seamless blend with surrounding teeth. 

Next, we will use state of the art CAD CAM technology to design and fabricate your new crown, customized to the shape, shade, and size we want. Instead of the tradition 2-3 week wait in a fragile temporary crown, your crown will be fabricated on-site and there won't be any required follow-up appointments. Our Eugene, OR dental office is pleased to offer same day crowns to our patients. If you have any questions about the process just give us a call!

Dental Bridges Replace Missing Teeth

If you suffer from tooth loss, we offer several tooth replacement options to help you. Dental bridges are time-tested restorations that are perfect for replacing one or two teeth missing from the same spot in your mouth. 

Most often, a bridge is a three-piece unit consisting of crowns attached to teeth on either side, supporting an artificial tooth that sits in the open space. With the support of the anchor teeth, the bridge restores your beautiful smile and gives you back years of chewing function.

Is a Crown or Bridge Right for You?

Today we have the means to keep your teeth healthy and functional for a lifetime, as long as you commit to properly caring for them. If you want a solution for broken or missing teeth, please call our Eugene, OR dental office to get started.

They have a great staff and everyone is very friendly

I came to this dentist a couple years ago because they were the only ones that could get me in on such short notice to have some work done and they have done an excellent job. Tyler is so nice and easy to work with and Natalie cleans my teeth and she is awesome too. They have a great staff and everyone is very friendly. I would highly recommend this dentist office to anyone.

- Mike S.

Meet Our Doctors:

Dr. Tyler Peterschmidt

Dr. Tyler Peterschmidt has been serving patients in the Eugene area since 2014. He moved to Eugene after completing his dental degree at Oregon Health Sciences University, School of Dentistry in 2014. While ...

Dr. Susie Watkins

For Dr. Susie Watkins, the decision to pursue dentistry came while working ...

Crowns & Bridges Technology

Same Day Crowns

In 2021, PNW Dental invested in the latest and most advanced technology to offer same day crowns to our patients. This new technology allows us to provide high quality dental crowns and restorations in a time efficient manner without the need for goopy dental impressions. Traditional crown techniques would require the patient to leave with a fragile temporary crown and return two weeks later for the final crown cementation. Now, we will have you walking out the door with your new crown in one appointment!

We Fix Missing and Broken Teeth in Eugene, OR
Book an Appointment